ورود
عضویت
صفحه اصلی
مقالات
تماس با ما
بهداشت ، بهداشت عمومی ، بهداشت محیط
پست مطالب
آلودگی هوا به شدت سلامت کودکان را تهدید می کند
طبق گزارش سازمان بهداشت جهانی، بیش از ۹۰ درصد کودکان جهان هوای آلوده استنشاق می کنند که سلامت و رشدشان را در معرض خطر جدی قرار می دهد و متاسفانه موجب مرگ بسیاری از آنها می شود.
1397/08/10
کشف یک پروتئین طبیعی برای کاهش وزن
محققان پروتئینی را شناسایی کرده اند که تنظیم کننده قوی متابولیسم بوده و ممکن است به کاهش وزن کمک کند.
1397/08/10
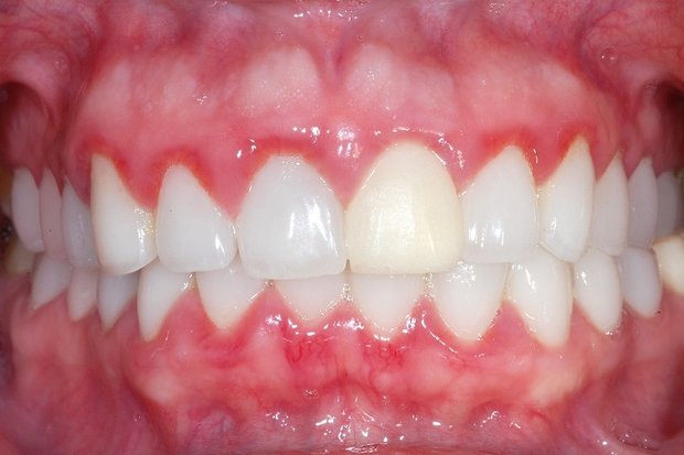
راهکارهای پیشگیری از التهاب لثه را بشناسید
لثه های ناسالم می توانند متورم، قرمز و دردناک باشند.
1397/08/10
۹۳ درصد کودکان زیر ۱۵سال جهان هوای آلوده تنفس می کنند
معاون بهداشت وزارت بهداشت در ژنو گفت: ۸۰ درصد جمعیت جهان در محیط هایی با کیفیت پایین هوا زندگی می کنند. ۹۳ درصد کودکان زیر ۱۵سال در سراسر جهان، هوای آلوده تنفس میکنند.
1397/08/09
مشارکت ۷۰۵ کارشناس بهداشتی در منطقه مرزی شلمچه
مشاور معاون بهداشت وزارت بهداشت ازمشارکت۷۰۵ کارشناس بهداشتی در مراسم اربعین و گندزدایی یک میلیون و ۲۷۳ هزار و ۹۰۰ لیتر آب در جریان راهپیمایی اربعین حسینی در منطقه منتهی به مرز شلمچه خبر داد.
1397/08/09
۳۹ هزار بار نظارت بهداشتی بر مواکب و مراکز تهیه و توزیع غذا
همزمان با مراسم پیاده روی بزرگ اربعین حسینی ۳۹ هزار بار نظارت بهداشتی بر مواکب و مراکز تهیه و توزیع غذا، محل های اسکان زائرین توسط مرکز سلامت محیط و کار وزارت بهداشت انجام شد.
1397/08/09
ورزش به مقابله با استرس و اضطراب کمک می کند
ورزش شیوه ای مناسب برای حفظ تندرستی مغز و کاهش استرس و اضطراب است.
1397/08/09
پیاده روی تند به زانوهای افراد آرتروزی کمک می کند
مطالعه جدید نشان می دهد افراد مبتلا به آرتروز زانو نباید از پیاد روی هراس داشته باشند و پیاده روی تند می تواند برایشان مفید باشد.
1397/08/09
دلایل ابتلا به یبوست/ ضروت انجام ورزش روزانه و سرعتی
دبیر علمی هجدهمین کنگره گوارش و کبد ایران با اشاره به دلایل ابتلا به یبوست گفت: برای پیشگیری و مبارزه با این بیماری باید فعالیت فیزیکی روزانه سرعتی داشت.
1397/08/09
افزایش مرگ با قرص برنج در کشور/مسمومیتی که پادزهر ندارد
آمار اخیر سخنگوی وزارت بهداشت، از مرگ و میر با قرص برنج در کشور، نگرانی ها از در دسترس بودن این محصول خطرناک را دوچندان کرده است.
1397/08/09
دستورات وزیر برای بهبود وضعیت بهداشت و درمان مردم جنوب کشور
وزیر بهداشت گفت: سند توسعه آموزش در استان خوزستان باید ظرف یکماه آینده تهیه شود تا تکلیف توسعه آموزش در این استان و گروه ها و رشته های تحصیلی مشخص باشد.
1397/08/08
شایع ترین بیماری ها در کربلا/ توصیه های بهداشتی
نماینده شرکت شهر سالم در کربلا، خدمات این مجموعه به خدام الحسین را تشریح کرد.
1397/08/08
مراجعه ۵۱ هزار زائر به قرارگاه های مرزی هلال احمر
معاون عملیات سازمان امداد و نجات، به تشریح پوشش امدادی مراسم اربعین حسینی در قرارگاه های مرزی، پرداخت.
1397/08/08
پزشکان جهادی در مسیر شوق خدمت به زائران پیاده روی اربعین
قرارگاه جهادی امام رضا (ع) برای چهارمین سال متوالی توفیق خدمت به زوار ابا عبدالله الحسین (ع) را در زمینه های بهداشت و درمان دارد.
1397/08/07
لزوم شستشوی مکرر دست ها برای پیشگیری از بیماری های عفونی
یک متخصص بیماری های عفونی گفت: زائران بالای ۶۰ سال، بیماران قلبی، ریوی، کلیوی، دیالیزی و مبتلایان به آسم باید دو هفته پیش از سفر به مراسم اربعین واکسن بیماری های ضد واگیر را تزریق کنند.
1397/08/07
ارائه خدمات سرپایی به ۲۱ هزار زائر/انتقال ۱۱۸ مصدوم به کشور
معاون عملیات سازمان امداد و نجات، گزارشی از پوشش امدادی اربعین حسینی، از ٢١ مهر ٦ آبان ۹۷، در قرارگاه های مرزی کشور، ارائه داد.
1397/08/07
۶.۹ درصد مردم بیمه نیستند/پول ندهیم زیرمیزی می گیرند
وزیر بهداشت، گفت: در حال حاضر ۶.۹ درصد از افراد جامعه تحت پوشش هیچ بیمه ای نیستند، در حالی که ۱۰ میلیون نفر بیمه رایگان هستند.
1397/08/06
علائم آب مروارید را بشناسید
آب مروارید تیره شدن عدسی چشم است که در صورت عدم درمان، بر بینایی تاثیر می گذارد.
1397/08/06
ارتباط هورمون استرس با عملکرد بد حافظه افراد مسن
مطالعه جدید نشان می دهد افراد مسن با میزان بالاتر از حد میانگین هورمون استرس موسوم به «کورتیزول» دارای حافظه مبهم تری هستند.
1397/08/06
ارتباط داروی فشارخون و ریسک ابتلا به سرطان ریه
نتایج یک مطالعه جدید نشان می دهد مصرف بازدارنده های ACE (آنزیم تبدیل کننده آنژیوتنسین) برای کاهش فشارخون ممکن است احتمال ابتلا به سرطان ریه را هم افزایش دهد.
1397/08/06
شروع »»
قبل »
154
155
156
157
158
159
160
161
162
163
« بعدی
«« آخر